

Denti abrasi,"consumati" e come risolvere
Spesso pazienti si rivolgono al dentista perché hanno abraso, solitamente a causa di parafunzioni notturne, gli incisivi e i canini, che...


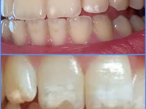
Le white spots, cioè le macchie bianche sui denti, cosa sono?
Le macchie bianche sui denti sono un fastidio estetico che può avere diverse cause scatenanti. Non si tratta di una patologia grave e non...


Chi ha inventato lo SPAZZOLINO da denti?
La prima attestazione storica dell'esistenza dello spazzolino da denti la ritroviamo molto indietro nel tempo: correva l'anno 3000 a.C. e...


Quali sono le cause principali delle AFTE ORALI ?
Quali sono le cause principali delle afte orali, cioè quelle bolle che compaiono improvvisamente sulle guance o sulle labbra e che spesso...


Quale salute orale per il PAZIENTE ANZIANO?
La popolazione mondiale sta invecchiando a un ritmo più rapido rispetto al passato e questa transizione demografica avrà un impatto sulla...


INFEZIONI CARDIACHE
Per prevenire un’endocardite infettiva da streptococco del gruppo Viridans (VGS), secondo l’American Heart Association (AHA), è...


TERAPIA CHIRURGICA RIGENERATIVA e MUCO GENGIVALE
TERAPIA CHIRURGICA RIGENERATIVA Lo scopo della chirurgia rigenerativa è ottenere un guadagno di tessuto di supporto attorno ad elementi...


TERAPIA CHIRURGICA
TERAPIA CHIRURGICA Il trattamento chirurgico deve essere considerato come un mezzo aggiuntivo alla terapia causale e alla terapia...


TERAPIA MECCANICA NON CHIRURGICA
Trattamento di base delle parodontiti Questa terapia si basa sulla levigatura radicolare, prevede cioè la strumentazione meccanica, sopra...


TERAPIA CAUSALE
La terapia causale è un approccio che si prefigge l'obiettivo di eliminare tutte le cause e i fattori di rischio che sono alla base...